AKTUELNO Odlične vijesti za Barbareza: Gazibegović odlazi iz Kölna i ponovo će igrati! Objavljene cijene karata za polufinale baraža Vels – BiH! Haos u Firenci: Džeko dobija trećeg trenera ove sezone! Otkriveno koliko zarađuju Zmajevi: Evo kolike plate imaju u klubovima! Sarajevo slavilo u velikom derbiju: Zrinjski pao pred domaćom publikom! Malić zapalio Graz: Bh. reprezentativac zabio i donio vodstvo Sturmu! Alajbegović s dvije golčine srušio Wolfsberger i donio Salzburgu trijumf! Sjajni Alajbegović nastavlja da briljira: Vratio se u prvih 11 i odmah zabio! Kulenović nastavlja odličnu formu: Opet zabio, ovaj put protiv PSV-a! Poznati šeširi za Ligu nacija: Ovo su potencijalni protivnici Zmajeva!
TURSKA
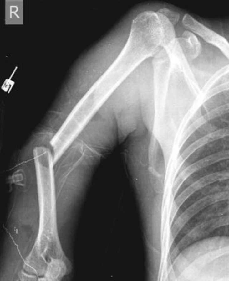
Pogledajte kako izgleda ruka Edina Višće nakon teškog loma!
STRAVIČNA POVREDA EDINA VIŠĆE
- 20:19
- 12.08.2022
- Autor: Redakcija
Nekadašnji fudbalski reprezentativac Bosne i Hercegovine Edin Višća doživio je tešku povredu u večerašnjoj utakmici između njegovog Trabzonspora i Hatayspora u okviru turske Super lige.
Višća je nakon duela s protivničkim igračem pao na travu, prilikom čega je doživio prijelom ruke i ostao nepomično ležati.
VIDEO: Evo kako se povrijedio Edin Višća!
Fudbaleru je pružena pomoć na terenu, a potom je ambulantnim kolima prebačen u bolnicu.
Pregledom je utvrđeno je da je Višća doživio prijelom nadlaktične kosti. Očekuje se da će bh. igrač biti van terena najmanje dva mjeseca.
Pogledajte kako izgleda njegova ruka nakon teškog loma nadlaktične kosti.

PROMO
CineStar PREMIERE otključan za sve korisnike BH Telecoma: Mjesec filmskog uživanja
Nikad povoljnija online kupovina uređaja uz besplatnu dostavu!
Sarajevski derbi za više od tri boda: Meridian te časti duplim bonusom
MrBit: Vrhunska ponuda za vikend derbija i poklon dobrodošlice za start
Novo kolo otvaraju Velež i Sarajevo, a Meridian vam donosi bogatu ponudu
Veliki Black Friday vikend u Meridianu: Uhvati svoju šansu!
EKSKLUZIVNO U MERIDIANU: SMS uplata za Ultra korisnike
MrBit: Poklon dobrodošlice do 50 KM i kvota od 9.50 za pobjedu BiH
Copyright © 2011 - 2021 BHFudbal.ba
✖


